Ange ditt sökord

 Foto: Shutterstock

Foto: Shutterstock

Kolecystit (inflammation i gallblåsan)

När man har kolecystit har man fått inflammation i gallblåsan. Kolecystit kan visa sig genom smärtor på höger sida av magen och andra sjukdomssymtom.

Kolecystit räknas som en komplikation till gallsten. När man får gallstenar som blockerar vägen ut från gallblåsan kan man få en blockad av galla som skapar inflammation. Detta är den absolut vanligaste orsaken till kolecystit.

Akut och kronisk kolecystit

Kolecystit brukar delas upp i akut och kronisk kolecystit. Inflammation i gallblåsan vid ett enstaka eller isolerat tillfälle brukar kallas för akut kolecystit. Vid kronisk kolecystit blir inflammationen och dess symtom ihållande eller återkommande. Den vanligaste orsaken till kronisk kolecystit är återkommande attacker av akut kolecystit.

Om galla och gallblåsan

Gallan är en gul vätska som tillverkas i levern. Den lagras i gallblåsan tills kroppen behöver den. Då leds gallan ner till tarmarna och används för att att bryta ned fett från maten. Gallblåsan är päronformad och rymmer ungefär 30 till 60 milliliter galla. Gallans uppgift i kroppen är att hjälpa tarmana att finfördela fett från maten.

Symtom på kolecystit

Det främsta symtomet på kolecystit är smärtor i övre delen av magen, oftast på höger sida nedanför revbenen. Några andra tecken är illamående, kräkningar och feber. Det kan göra ont att röra sig eller andas in djupt.

Orsaker till kolecystit

Den vanligaste orsaken till kolecystit är gallstenar. Gallstenar är en typ av kristaller som bildas i gallblåsan och orsakar smärta på höger sidan under revbenen. Gallsten kan vara mycket smärtsamma, men de leder sällan till allvarliga problem. Gallstenar kan dock inflammera gallblåsan, men även gallgångarna eller bukspottskörteln.

Om inflammationen i gallblåsan är till följd av att utgången blockerats uppkommer magsmärtorna krampartar när gallblåsan dras samman och misslyckas att pressa ut innehållet. Några ovanligare orsaker till kolecystit är virusinfektioner, gallgångsförträngningar och besvär som blockerar flödet av galla till tarmarna.

Undersökning och diagnos

När din gallblåsa undersöks efter inflammation går man vanligtvis igenom symtomen samt en utvändig undersökning där man kontrollerar om magen är öm kring platsen. Det är vanligt att blodtryck, andning och saturation mäts för att se hur allvarliga problemen är.
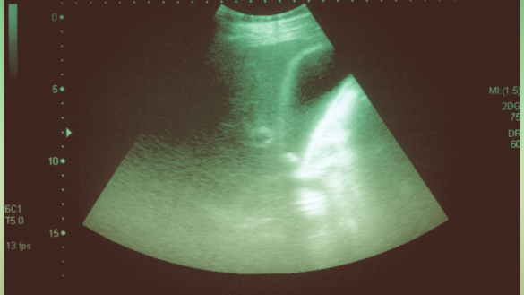
En undersökning med ultralljud brukar göras för att bekräfta diagnosen. Några andra undersökningar som ibland görs är datortomografi, magnetresonansundersökning och ECRP. Under en ECRP-undersökning kan man i vissa fall också ta bort gallstenar under undersökningens gång.

Behandling av inflammation i gallblåsan

Vid en akut kolecystit är vanligaste behandlingen vila för tarmen (näring endast via dropp), inflammationshämmande läkemedel och eventuellt antibiotika. Ibland blir operation nödvändig vid upprepade eller långdragna besvär.  Gallblåsan avlägsnas vid operationen där man använder titthållsteknik (laparoskopi). Titthålsteknik gör att ingreppet blir mindre och förkortar läkningstiden. I undantagsfall görs operationen med vanlig, s k öppen teknik.

Om man haft en inflammerad gallblåsa under en längre tid innan man sökt vård kan det göra att det inte går att operera direkt. Även andra medicinska omständigheter kan göra att man inte väljer att operera direkt. Vissa av de som väntar får dock förvärrade besvär med inflammationen under väntetiden, vilket ändå leder till operation i slutändan.

Hur mår man efter operationen?

Efter att man tagit bort gallblåsan är riskerna små att nya besvär uppkommer i området. De flesta klarar sig bra utan gallblåsan. Den främsta skillnaden är att gallan inte längre lagras; den rinner ut i tunntarmen i en konstant takt istället.

Vissa kan få diarré under en första tiden efter operationen. Detta symtom försvinner vanligtvis med tiden. Ett sätt att må bättre efter att gallblåsan tagits bort är att äta små portioner mat ofta och inte äta mat som innehåller för mycket fett.

Den här sjukdomen handlar om:

Läs även

Prenumerera på vårt nyhetsbrev

Glöm inte att bekräfta din prenumeration i din inkorg. Den kan ha hamnat i din skräppost.

Fråga doktorn

Här kan du ställa din fråga till någon av våra duktiga experter. Vi kan inte besvara alla frågor, men vi gör vårt bästa för att just du ska få svar. Genom åren har experterna besvarat över 8 000 frågor, så chansen är stor att du hittar redan besvarade frågor inom det du undrar över.

Välkommen till Doktorn!